Have you spotted a loon that seems off? Observing unusual actions in these iconic waterbirds can be concerning, but not all odd appearances signal loon distress. Many reports turn out to be normal behaviors mistaken for injury. Learn the key signs of genuine loon distress below, and always contact a wildlife professional via this link if you’re unsure. Capturing photos or videos helps experts assess the situation accurately.
Causes of Loon Distress
Loons face several human-related threats that lead to clear distress signals. Recognizing these early can save lives. Common issues include entanglement, beaching, poisoning, and physical injuries, each with distinct visual cues.
Entanglement or Hooked Tackle
Loons often get tangled in discarded fishing lines or hooks from nearby casts. They may chase bait, leading to wraps around their necks, wings, or legs. Look for lines dangling or tackle embedded in their feathers.
Entangled loon at sunset on a lake, showing fishing line wrapped around its body
Report sightings with clear photos of the line for confirmation. Note that research bands are sometimes confused with tackle—check the leg bands section for details.
Beached or Stranded on Land
These aquatic birds struggle on shore due to their body structure. A loon on land often indicates injury, illness, or exhaustion. It can’t walk efficiently and appears vulnerable.
Beached loon on a rocky shore, unable to move effectively on land
Keep people and pets at a distance while awaiting help. Describe the loon’s behavior, such as flopping or panting, in your report.
Lead Poisoning
Swallowing lead fishing tackle is a silent killer for loons. Symptoms include extreme lethargy, unawareness of surroundings, bumping into objects, or beaching. Unlike normal rest, affected loons ignore threats.
Illustration of lead tackle inside a loon's digestive system
Learn more about loons and lead. Watch this video example (0:44 mark) of a poisoned loon.
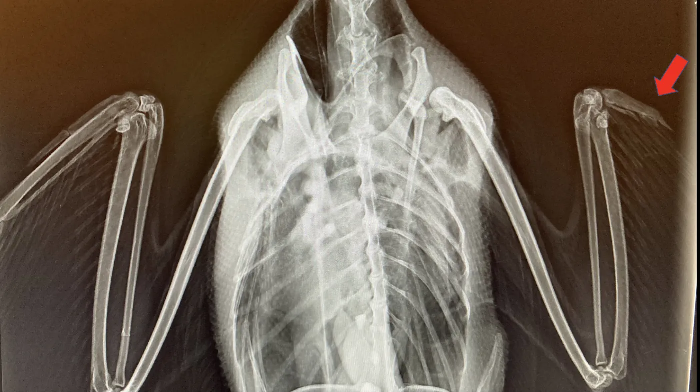
Physical Injuries
Territorial fights cause wounds, but boat propeller strikes from human activity are more visible and severe. Look for limping, unbalanced swimming, or exposed injuries.
X-ray image of a loon with a broken wing from a boat propeller injury
Wildlife rehab centers like Wild & Free document these cases. Leg injuries mimic normal postures—see leg positions below.
Normal Loon Behaviors Often Mistaken for Distress
Before reporting, rule out everyday activities. Loons exhibit unique habits that look alarming to untrained eyes. Videos and close observation via binoculars can clarify.
Colored Research Bands
Bright bands on legs identify individuals for studies in areas like Whitefish Chain, MN. They flash underwater or during stretches, resembling bobbers or line.
Close-up of a loon swimming with colorful research bands visible on its legs
Bands don’t impair movement. Use binoculars to confirm.
Preening Feathers
Loons clean and waterproof feathers by twisting, rolling sideways, and extending legs. This daily ritual maintains insulation.
Loon preening its feathers on the water, one leg extended backward
Watch a preening video. Photo by Trista Snapko.
Bathing
Loons splash, dunk heads, or roll to cleanse deeply. Sessions can last minutes, looking erratic.
Loon bathing vigorously, splashing water around its body
Not distress—view a bathing clip.
Sleeping or Resting
They tuck heads onto bodies or drift alertly. Daytime naps are common on safe waters.
Adult loon sleeping on the water, head tucked back
True rest includes environmental awareness; they flee threats. Photo by Trista Snapko.
Leg positions vary during rest or preening, with one tucked or raised for cooling, not injury.
Loon drifting with one leg raised out of the water
Foot Waggle
Adults and chicks shake legs to stretch or thermoregulate, sometimes with bands visible.
Loon performing a foot waggle, legs shaking above water with bands showing
See a foot waggle video. Photo by Katy Dahl.
Wing Rowing and Territorial Displays
They “row” with wings to flee or during penguin dances, calls, or fights—intense but normal.
Loon wing-rowing across the water surface to escape
Check penguin dance, fighting, or wing row. Photo by Trista Snapko.
Hangover Position on Nests
Nesting loons lower heads low when threatened (May-July), mimicking illness to protect eggs.
Nesting loon in hangover position, head lowered low over eggs
Back off to avoid disturbance. View video. Photo by Judd Brink.
Distinguishing loon distress from routine saves rehab resources for real cases. Always prioritize safety—observe from afar.
Conclusion
True loon distress from entanglement, lead, or injury demands swift action, while behaviors like preening or resting are harmless. By understanding these differences, you protect loons effectively. Contact professionals immediately for concerns, and use photos/videos for best results.
Call to action: Share your observations with the National Loon Center and help conserve these birds.
References
- National Loon Center: Injured Loon Reporting
- Loons & Lead Video
- Photos credited to contributors like Trista Snapko, Katy Dahl, Judd Brink, and others as noted.
