Himalayan cats, a beloved Persian-Siamese hybrid known for their striking pointed coloration, long thick coats, and gentle personalities, make wonderful pets. However, like many brachycephalic breeds, they are prone to several Himalayan cat diseases that require vigilant monitoring and care. Originating from Persian lines crossed with Siamese about 60-70 years ago, these cats have short faces, heavy bodies, and luxurious fur that demands regular grooming. Understanding common Himalayan cat health issues can help owners spot problems early, ensuring a longer, healthier life for their feline companions.
These elegant cats often live long lives with proper care, but hereditary conditions and breed-specific vulnerabilities mean routine vet check-ups are essential. From eye problems to kidney disease, knowing the signs of Himalayan cat diseases empowers owners to act swiftly. In this guide, we’ll explore the most prevalent issues, diagnostic methods, and preventive strategies.
For more on similar breeds, check out the seal point persian.
Hereditary Cataracts in Himalayan Cats
One of the earliest Himalayan cat diseases to watch for is hereditary cataracts, which cause cloudiness in both eyes affecting the lenses. This genetic condition can impair vision and may require surgical intervention if severe. Owners often notice a bluish or grayish haze in the pupils during routine exams.
Early detection through annual veterinary eye checks is crucial, as untreated cataracts can lead to complete blindness. According to veterinary experts, Himalayans inherit this from Persian ancestry, so breeding programs now screen for it.
Brachycephalic Syndrome Challenges
Himalayans’ short, flat faces predispose them to brachycephalic syndrome, a cluster of respiratory and ocular issues common in Himalayan cat diseases. Symptoms include epiphora (tear staining below the eyes), labored breathing, corneal abrasions, ulcers, and even corneal sequestration—a painful condition often needing surgery and causing scarring.
Their flattened snouts reduce exercise tolerance and heat dissipation, exacerbated by obesity. Maintain a healthy weight with portion-controlled, high-quality diets and avoid overfeeding to mitigate risks. Regular face cleaning prevents infections from tear stains.
Polycystic Kidney Disease (PKD)
Polycystic Kidney Disease (PKD) is a hereditary Himalayan cat disease where fluid-filled cysts develop in the kidneys, leading to progressive failure. Early signs include increased thirst, urination, and dilute urine—monitor your cat’s water intake and litter box closely.
Diagnosis involves blood panels, urinalysis, and ultrasound to assess cyst severity. Treatment focuses on managing symptoms with low-protein diets, blood pressure meds, and fluids.
Low protein and albumin
Normal kidney values on a feline blood panel; PKD cats show elevated numbers.
Checking blood pressure in a cat
Veterinarians measure blood pressure routinely in at-risk breeds like Himalayans.
Related breeds face similar issues—learn about himalayan cat price factors including health screening.
Hypertrophic Cardiomyopathy (HCM)
Heart disease, particularly Hypertrophic Cardiomyopathy (HCM), poses a sudden threat in Himalayan cats. This thickening of the heart muscle can cause murmurs, irregular rhythms, or even sudden death without warning. Annual exams with stethoscope auscultation detect murmurs early.
Diagnostic tools include radiographs, EKGs, and echocardiograms—the gold standard for confirming HCM.
Labeled X-ray of a normal heart
A labeled X-ray highlighting heart position in a normal feline chest.
EKG Reading On Computer Screen
An EKG tracing monitors heart rhythm in suspected cases.
Echocardiogram provides detailed views of heart structure and function.
Crossbreeds like the himalayan ragdoll cat may share cardiac risks.
Feline Asthma Prevalence
Himalayans show a higher incidence of feline asthma, possibly genetic, characterized by coughing, wheezing, or open-mouth breathing at rest. Radiographs reveal lung patterns diagnostic of this inflammatory condition.
Environmental triggers like dust or allergens exacerbate it, so use low-dust litter and air purifiers. Inhaler therapies manage severe cases effectively.
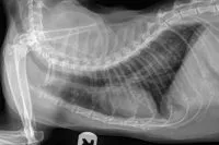
Xray of a cat with feline asthma.
A chest X-ray showing classic feline asthma lung changes.
Diet plays a role too; explore maine coon kitten diet for nutrition tips adaptable to Himalayans.
Urinary Tract Issues and FLUTD
Feline Lower Urinary Tract Disease (FLUTD) causes bloody urine, straining, and excessive grooming in Himalayans. Males are at higher risk of blockages, which can be life-threatening. Daily litter checks catch subtle signs.
Stones or infections may underlie FLUTD; stress reduction, wet food diets, and increased water intake prevent recurrences. Prompt vet care is vital.
Other pointed breeds like the tortie point siamese encounter similar urinary challenges.
Prevention and Long-Term Care
To combat Himalayan cat diseases, prioritize weight management, dental cleanings every six months (non-anesthetic preferred), and yearly exams with bloodwork, urinalysis, and blood pressure checks. Brushing their long coats prevents mats, while obesity avoidance boosts respiratory health.
Veterinary sources emphasize early intervention: organizations like the Cat Fanciers’ Association recommend PKD screening in breeding cats.
In conclusion, while Himalayans are affectionate, long-lived companions, awareness of common Himalayan cat diseases like PKD, HCM, and brachycephalic issues is key to their well-being. Consult your vet for personalized plans, including genetic testing. Share your experiences in the comments and explore more cat care tips on our site!
References
- Long Beach Animal Hospital: Kidney Disease in Cats
- Long Beach Animal Hospital: Feline Heart Disease
- Long Beach Animal Hospital: Feline Asthma
- Long Beach Animal Hospital: FLUTD
- American Veterinary Medical Association (AVMA) guidelines on hereditary feline conditions.
